犬・猫のお腹の不調、早期診断で安心を

Web予約受付

待ち時間が少なく
ペットにも優しい予約制

このような症状ありませんか?

  • 下痢をしている
  • 軟便が続く
  • 嘔吐した
  • 異物や中毒物質を飲み込んだ
  • 食欲がない

このような症状がみられたら、
内科の病気の可能性があります!

あまの動物病院のつの特徴

必要な検査をすること、必要ではない検査はしないこと

ワンちゃんやネコちゃんの嘔吐や下痢は、ほとんどの場合は、一過性のもので、適切な治療によりすぐに改善することがほとんどです。ですが、一部で重大な病気が隠れており、適切な検査や原因疾患へのしっかりとした治療が必要となる場合もあります。当院では、そのあたりを問診や一般身体検査から判断し、飼い主様と十分相談してから、必要と判断されれば検査をお勧めさせていただいております。

様々な検査や治療方法が対応可能

検査が必要とされた場合、血液検査、レントゲン検査、超音波検査、糞便検査が実施可能です。内視鏡処置や外科手術などが必要な場合も対応可能です。

豊富な手術実績と術後管理

異物の除去から、腫瘍の切除、消化管の吻合など様々な手術実績があります。また、胃捻転や消化管閉塞など、緊急を要する手術も可能です。消化管の手術は、術後の入院管理も重要になります。当院では、輸血を含むカロリー輸液やカテーテルによる経胃経腸栄養療法などで、治癒の促進に努めています。

犬の代表的な内科の病気について

急性膵炎を含んだ胃腸炎

腸炎は下痢、血便、嘔吐、元気食欲低下などの症状を起こす消化器疾患です。原因は様々ですが、細菌や寄生虫の感染、食物アレルギー、中毒物質の摂取、ストレス、不適切な食餌などが挙げられます。下痢の場合は糞便検査を実施して寄生虫の感染があれば駆虫薬で対処し、感染がなく、比較的軽度な症状であれば対症療法により多くの場合は数日で改善します。嘔吐が重度で食欲が廃絶している場合、急性膵炎と呼ばれる命に関わる状態まで悪化していることがあるため、症状が重度であったり繰り返している場合は、血液検査や超音波検査、内視鏡検査を実施して原因を特定した上で治療をします。食物アレルギーや食物不耐性が疑われる場合はフードを変更していただき、フードが合えば遅くとも2週間前後で改善が見られます。

このような症状が出た場合、急性膵炎を含んだ胃腸炎の可能性があります。

  • 嘔吐した
  • 下痢・血便をした
  • 食欲がない
  • お腹が痛そうなお祈りのポーズをする
  • いつもと違うものを食べさせた
  • お腹が痛そう

慢性腸症

慢性腸症とは、なんらかの原因で3週間以上下痢や嘔吐といった消化器症状が続いている状態を言います。炎症性腸疾患(IBD)や食餌性アレルギーといった主に体質が関係する病態、膵外分泌不全症や胃腸の腫瘍など特定の疾患が引き起こす場合などがあります。下痢や嘔吐が長期化すると血液中のタンパク質が失われるため、低タンパク血症を引き起こし、浮腫や吸収不良を悪化させ、治癒が難しい状態まで落ち込んでしまいます。そこで早期に病気を診断し、食餌を含む生活習慣の改善や、特定の抗生物質や消化酵素剤や消炎剤など原因に応じた服薬が必要になります。重度の場合、血漿輸血を含む積極的な治療が必要なこともあります。

このような症状が出た場合、慢性腸症の可能性があります。

  • 3ヶ月以上下痢や嘔吐が続く
  • 浮腫で皮膚がポヤポヤしている
  • 食欲不振が続く
  • 毛艶が悪化している
  • おやつを多給している
  • お腹だけが大きく膨らんで、タポタポしている

誤食

ワンちゃんが異物を飲み込むことはよくあります。飲み込んだ異物を嘔吐してくれれば問題ありませんが、腸に詰まるようなある程度の大きさのものや、中毒物質を含むものの場合早急に体外へ取り出す必要があります。吐かせることができるものは催嘔吐薬で人為的に嘔吐させて治療します。催吐ができない、もしくは難しい場合、全身麻酔下で胃内視鏡や胃洗浄を行ったり、開腹手術で取り出す必要があります。当院では、安全に処置ができるように、麻酔処置前に血液検査、消化管造影を含むレントゲン検査、超音波エコー検査などを行い、原因をできる限り特定します。ワンちゃんの状態を十分把握してから麻酔を行い、胃内視鏡や胃洗浄、開腹手術による異物摘出を行なっております。

このような症状が出た場合、誤食の可能性があります。

  • 嘔吐した
  • 下痢 血便をした
  • 食欲がない
  • お腹が痛そうなお祈りのポーズをする
  • いつもと違うものを食べさせた
  • お腹が痛そう

猫の代表的な内科の病気について

異物による腸閉塞や中毒

好奇心の強い猫ちゃんは、ビニールや毛玉、ヒモ状の異物などを飲み込み、胃腸に詰まらせる事があります。大抵の場合内視鏡や外科的な対応が必要となります。催吐処置で吐き出してくれるケースもあります。異物によって胃腸の通過ができなくなると、必ず嘔吐の初期症状と食欲の不振が続きます。嘔吐しているのに腹部エコーやレントゲン消化管造影により異物が確認された場合、内視鏡または外科手術によって異物を除去しないと症状が解決しません。早期発見早期異物除去が出来れば比較的予後が良い事が多いですが、胃腸に穴があくことで起こる腹膜炎などの合併症があると命に関わる可能性が出てきます。催吐処置、内視鏡、外科手術に対応できますので、吐き戻しがある場合は、動物病院にお問い合わせください。

このような症状が出た場合、異物による腸閉塞や中毒の可能性があります。

  • 吐き戻しがある
  • 食欲がほとんどない
  • 元気がない
  • 異物を食べた可能性がある
  • 体重減少
  • 嘔吐

慢性腸症

慢性腸症とは、なんらかの原因で3週間以上下痢や嘔吐といった消化器症状が続いている状態を言います。炎症性腸疾患(IBD)や食餌性アレルギーといった主に体質が関係する病態、膵外分泌不全症や胃腸の腫瘍など特定の疾患が引き起こす場合などがあります。下痢や嘔吐が長期化すると血液中のタンパク質が失われるため、低タンパク血症を引き起こし、浮腫や吸収不良を悪化させ、治癒が難しい状態まで落ち込んでしまいます。そこで早期に病気を診断し、食餌を含む生活習慣の改善や、特定の抗生物質や消化酵素剤や消炎剤など原因に応じた服薬が必要になります。重度の場合、血漿輸血を含む積極的な治療が必要なこともあります。

このような症状が出た場合、慢性腸症の可能性があります。

  • 3週間以上下痢や嘔吐が続く
  • 食欲不振が続く
  • 特殊な種類の猫である
  • おやつを多給している

三臓器炎

猫ちゃんの十二指腸という小腸の入り口部分には、胆嚢で作られる胆汁が分泌される胆管と膵臓で作られる膵液が分泌される主膵管・副膵管が開口しています。この形状が特殊なため、免疫反応や食べたものの影響などで分泌がおかしくなる事があります。そうすると黄疸や肝炎、胆嚢炎や膵炎などが合併するような激しい胃腸障害が起こる事があります。このような病態を俗に猫の三臓器炎と呼ぶ事があります。放置すると危険になる事がありうる病態です。抗生物質や抗炎症剤や胃腸薬へ反応してくれるようなら改善が見られる事があります。

このような症状が出た場合、三臓器炎の可能性があります。

  • 吐き戻しがある
  • 食欲がほとんどない
  • 元気がない
  • 白目や歯茎が黄色い
  • おしっこの色がいつも濃い黄色のまま

症例紹介

症例

急性膵炎

治療1週間後

犬種
ミックス
治療期間
1週間

症状

症状 嘔吐、食欲不振

診断・治療

血液検査および超音波検査から急性膵炎だと診断。静脈輸液、内科治療により症状が改善しました。

解説

犬の急性膵炎は、膵臓の炎症が急激に進行する病気です。明確な原因は判明していませんが、高脂血症や一部犬種などでは脂肪分の多い食事が発症リスクをあげることがわかっています。症状には嘔吐、下痢、腹痛、食欲不振、脱水が含まれます。これら臨床症状に加え、血液検査、画像診断を総合的に診て診断します。治療は、支持療法が主となります。例としては点滴による水分補給、痛みの管理、炎症の抑制を中心に行います。重症の場合、治療が遅れると、慢性膵炎へ移行や、最悪の場合死亡することもある恐ろしい病気です。早期の発見と適切な治療が予後を改善します。

症例

低タンパク血症

3ヶ月後

犬種
パグ
治療期間
1年以上

症状

健康診断で発覚、その後食欲不振、削痩

診断・治療

血液検査より低タンパク血症が認められました。低脂肪食を開始していたが、1年後、肝機能の低下が認められて内科治療を実施しつつ、手作り食と低脂肪食、サプリメントを実施しています。その後は食欲も改善し、体重も理想体重を維持しています。

解説

低タンパク血症は血中のアルブミン濃度が異常に低下する状態です。アルブミンは血液中のタンパク質の一つで、血液の浸透圧を維持し、栄養素の運搬や抗体の生成に関与しています。この病態は、肝疾患、腎疾患、消化器疾患、栄養不良など様々な原因によって引き起こされます。主な症状には、慢性的な下痢、浮腫(むくみ)、体重減少、疲労感、腹水などがあり、重症化すると生命に危険を及ぼすこともあります。診断には血液検査、尿検査、内視鏡検査が必要で、治療は原因に応じた対応が求められます。早期の発見と適切な治療が重要です。

症例

食事反応性腸症

4ヶ月後

猫種
日本猫
治療期間
2週間

症状

下痢、血便

診断・治療

糞便検査から寄生虫は検出されず、下痢止め、整腸剤等の対症療法で一時的に良化するも散発的に血便や軟便が認められました。食事内容を確認し、易消化性の食事へと変更した所、血便が消失し、便も改善しました。

解説

食事反応性腸症は特定の食物成分に対するアレルギーや過敏反応により、腸の炎症や機能障害を引き起こす疾患です。主な症状には、2週間以上続く下痢、嘔吐、体重減少、食欲不振などがあります。診断は、糞便検査により感染症の否定し、質の良い食事や食物繊維の多い食事はの変更や、アレルギー除去試験を行い特定の食材に対する反応を確認します。場合によっては症状を抑える薬物療法が必要となります。早期の診断と適切な対処が重要です。

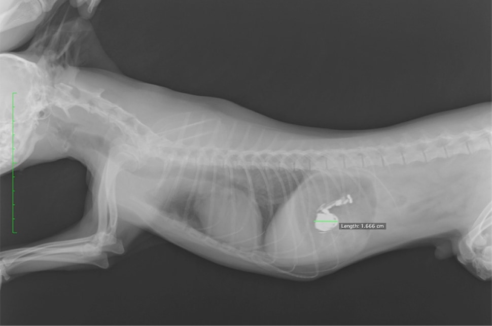
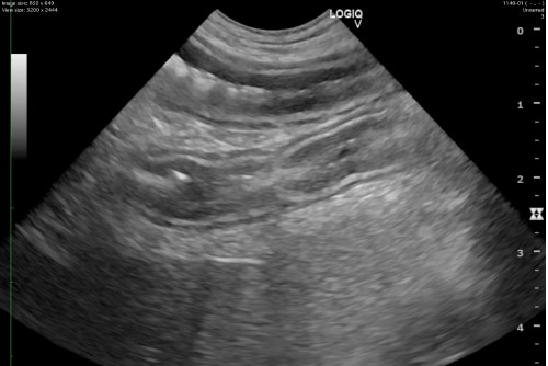
症例

腸腺癌による腸閉塞、および腸穿孔

手術1週間後

猫種
日本猫
治療期間
1ヶ月〜

症状

嘔吐、食欲不振

診断・治療

超音波検査から小腸で腫瘍による腸閉塞、また、それに伴い腸に穴が開いている(腸穿孔)が確認されました。物理的な閉塞ため、閉塞部位の切除が必要となるため外科手術による切除を実施しております。術後は下痢が認められるも食欲が改善し、嘔吐もなくなっております。

解説

猫の腸閉塞は、腸内の物質が正常に移動できなくなる状態で、異物の摂取、腫瘍、腸のねじれ(腸捻転、腸重積)などが原因で発生します。主な症状には、嘔吐、食欲不振、腹痛、元気消失、腹部の膨満感が見られ、長期に渡ると腸穿孔(腸に穴があくこと)を引き起こします。特に、嘔吐が続く場合は緊急性が高いです。診断には、身体検査や画像診断(X線や超音波)が用いられます。治療は通常、手術や内視鏡によって閉塞を解除し、必要に応じて腸の修復や異物の除去を行います。早期の発見と治療が予後に大きく影響します。

治療の流れ

受付・問診

受付いただきましたら、スタッフから問診させていただきます。どのような症状がいつごろからあるのかお伺いさせていただきます。便をお持ち頂いている方はスタッフにお渡し下さい。

身体検査

丁寧に一般身体検査を実施させていただき、お腹に痛みがないか、腫れている部位がないかなど、お腹を中心に全体的に触らせていただきます。他に異常がないかも確認します。身体検査で分かったことから疑われる疾患についてお話しし、その疾患を確認するための検査についてご説明します。

検査

下痢や血便といった便の症状の際にはまず糞便検査を行います。また嘔吐など上部消化器疾患の症状の経過や重症度、触診の結果によっては腹部エコー検査、血液検査、レントゲン検査をご提案させていただきます。

検査結果の説明・治療方針のご相談

検査結果に応じて診断を行い、診断に基づいてお薬や注射、食事療法などの治療をご提案させていただきます。必要に応じて更なる精査を目的に消化管造影検査や内視鏡検査をご提案させていただくこともあります。なお、ご飯やお水を十分に取れず脱水などで弱ってしまうことが想定される動物に関しては入院治療をお勧めすることもあります。

お会計・時間の予約

お会計、お薬のお渡しは受付からさせていただきます。軽症の方はお薬を飲んでいただき様子をみていただきます。中程度から重度の症状の方は病状に合わせて次回の再診の目安をお伝えさせていただきます。

診療料金

専門初診料 3,300円(税込)

検査費用

軽度 1,100円(税込)から (糞便検査 直接法+集中法)
重度 6,600円(税込)から (系統的腹部超音波検査)

治療費用(※動物種・体重により変動します)

軽度 700円(税込)から(内服薬1種)
重度 33,000円(税込)から (全身麻酔下胃内視鏡処置)

ペットの内科に関するお悩み
お気軽にお問い合わせください

院長挨拶

院長 米田拓高の写真
院長

米田 拓高

立川市、国分寺市、東大和市、武蔵村山市、昭島市、小平市の皆様、こんにちは。あまの動物病院、院長の米田です。消化器の症状、とりわけ下痢や嘔吐、などは非常によく見られる症状だと思われます。これらの症状は簡単に治る場合もあれば、症状が落ち着かず、苦労される方は多いと思います。また、よく起きる症状ゆえに、いつものことだろうと油断していると、大きな病気の発見が遅れてしまい、取り返しのつかない状態となってしまう場合がございます。そのため、当院では徹底した原因究明を行い、家族のご理解とご協力のもと、一緒に考え、相談しながら治療、もしくは症状の緩和に役立ちたいと思っております。その他にも食事やおやつの相談、トイレなど日常で困っている事柄や少しでも気になることがあれば気軽におっしゃって下さい。私たちが動物たちと飼い主様が幸せに暮らしていくことをサポートさせていただきます。

略歴

2015年
宮崎大学獣医学科を卒業
2015年〜
神奈川県川崎市の動物病院 勤務
2021年〜
大阪府箕面市の夜間救急動物病院に勤務
2022年〜
大阪府堺市の動物病院に勤務
2024年01月
あまの動物病院を事業承継

所属学会

  • 日本獣医腎泌尿器学会
  • 日本獣医がん学会
  • 日本獣医画像診断学会

よくあるご質問

下痢が続いているのですが、どうすればよいでしょうか?
下痢の原因を探る必要があります。検査方法としては糞便検査、血液検査、レントゲン検査、超音波検査に加えて、状況によっては全身麻酔下での内視鏡検査などがあります。その子への適切な検査内容、治療方法を提案いたします。
先週から食欲をなくしていますが、どうすれば良いですか?
食欲がない場合は膵炎や腸閉塞、肝疾患などの他にも腎疾患など緊急な処置が必要な場合がございます。早めの来院と検査、治療のためご来院されることをお勧めします。
動物にも内視鏡は使いますか?
はい、行うことがあります。多くとして使われるのが、胃腸内の異物の除去と、内視鏡検査による組織検査と遺伝検査です。基本的に全身麻酔下で行いますので事前の血液検査や画像検査が必須となります。
よく吐きます。どうすればいいでしょうか?
嘔吐に関しては吐いた物、回数、日時、元気食欲の有無などで判断する必要がございます。検査は血液検査、画像検査(超音波、レントゲン検査など)が必要な場合があります。吐瀉物をお持ちいただきまして来院して頂くことをお勧めいたしますが、まず電話、LINEにてご相談いただくことも可能です。
ネット予約はこちら